TGuide S16 全自动核酸提取纯化仪(OSE-S16)
小巧便捷,通量灵活(京昌械备20220098号)
未备注医疗备案号的产品均未获得医疗器械注册证,不可用于临床诊断或治疗,仅可用于工业或者科研领域非医疗目的用途。
产品规格
| 目录号 | 规格 | 目录价 | 说明书 |
| OSE-S16 | 台 | 询价 |
产品简介
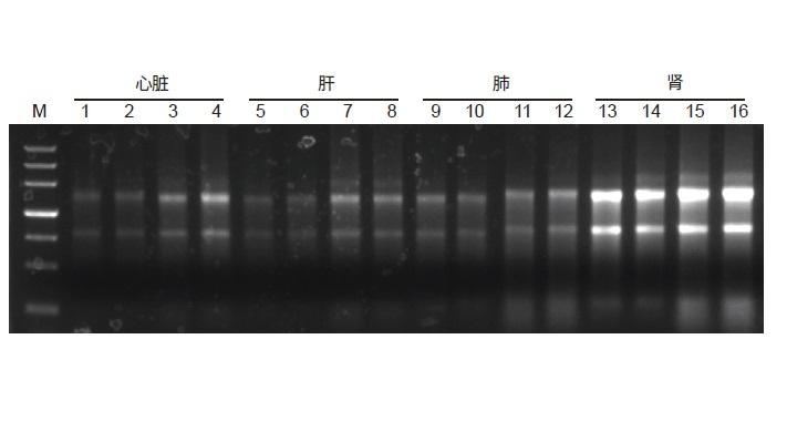
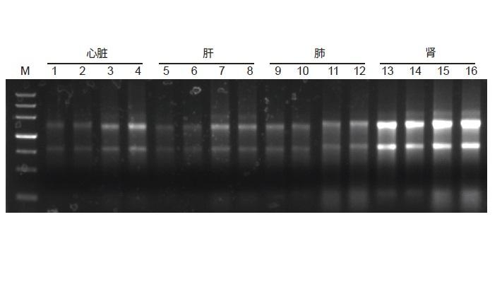
TGuide S16全自动核酸提取纯化仪采用磁棒吸附转移磁珠的方式,利用96孔板、单样本试剂条和磁棒套,同时操作1-16个样本,搭配不同种类的磁珠法核酸提取试剂,可完成质粒提取、琼脂糖凝胶回收纯化、动物、植物、细菌、真菌等多种样本的DNA/RNA提取纯化。
磁棒法核酸提取纯化原理
裂解液裂解样本后,游离于裂解/结合液中的核酸被磁珠特异性吸附,通过磁棒及磁棒套配合,完成磁吸、转移、释放和混合等动作使吸附核酸的磁珠与裂解/结合液分离,并在漂洗液孔将与磁珠非特异结合的各种杂质去除,最后使核酸分子溶解于洗脱液中。

产品特点

TGuide S16全自动核酸提取纯化仪及配套试剂耗材选择指南

实验结果
相关文档下载



